
ปัญหาสิวหัวช้างเป็นฝันร้ายของคนเป็นสิว เพราะนี่คือสิวอักเสบในระดับที่รุนแรงที่สุด (Cystic Acne) ซึ่งสร้างความเจ็บปวดและทำลายโครงสร้างผิวหนังในระดับลึก หากไม่ได้รับการรักษาที่ถูกวิธีตั้งแต่เนิ่นๆ สิวหัวช้างมักจะทิ้งรอยแผลเป็นขนาดใหญ่หรือหลุมสิวลึกที่ยากจะกู้คืนได้ด้วยสกินแคร์ทั่วไป การทำความเข้าใจกลไกการเกิดและการเข้าสู่กระบวนการรักษาทางการแพทย์ที่เหมาะสม จึงเป็นทางเลือกหนึ่งที่จะช่วยรักษาผิวหน้าให้กลับมาเรียบเนียนและป้องกันความเสียหายถาวรที่จะเกิดขึ้นกับชั้นผิวหนังแท้ของคุณ
สิวหัวช้าง (Cystic Acne) คืออะไร?

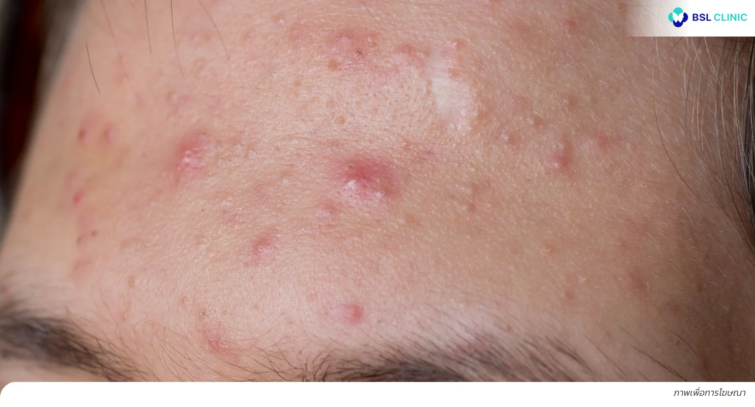
สิวหัวช้างไม่ใช่แค่สิวอักเสบธรรมดาที่มีหัวหนองตื้นๆ แต่มันคือถุงซีสต์อักเสบใต้ผิวหนังขนาดใหญ่ที่มีการรวมตัวกันของหนอง เลือด และแบคทีเรียจำนวนมาก เมื่อเกิดการอุดตันในรูขุมขนร่วมกับการติดเชื้อที่รุนแรง ผนังรูขุมขนจะเกิดการระเบิดตัวและแพร่กระจายการอักเสบออกไปสู่เนื้อเยื่อข้างเคียงในชั้นหนังแท้ (Dermis) ทำให้สิวหัวช้างมีลักษณะเป็นตุ่มแดงนูนขนาดใหญ่ที่กินพื้นที่กว้างและมีความลึกมาก
ลักษณะเด่นของสิวหัวช้างที่สังเกตได้
ลักษณะที่สำคัญที่สุดของสิวหัวช้างคือเป็นตุ่มบวมแดงขนาดใหญ่ (มักมากกว่า 5 มิลลิเมตรขึ้นไป) เมื่อสัมผัสจะรู้สึกเจ็บปวดมาก และที่สำคัญคือมักจะไม่มีหัวสิวปรากฏให้เห็นชัดเจนเหมือนสิวอักเสบทั่วไป เนื่องจากอาการอักเสบฝังรากลึกอยู่ใต้ชั้นผิวหนัง หากลองกดดูจะรู้สึกเหมือนมีของเหลวหรือถุงน้ำนิ่มๆ อยู่ภายใน ซึ่งเป็นสัญญาณบอกถึงการทำลายเนื้อเยื่อในระดับลึกที่กำลังเกิดขึ้น
ทำไมสิวหัวช้างถึงแตกต่างจากสิวอักเสบทั่วไป
สิวอักเสบทั่วไปอย่างสิวตุ่มแดงหรือสิวหัวหนอง มักจะเกิดการอักเสบในชั้นผิวที่ค่อนข้างตื้นและหายได้เร็วกว่า แต่สำหรับสิวหัวช้างจะมีความรุนแรงกว่าหลายเท่า เพราะเป็นการอักเสบต่อเนื่องในบริเวณกว้างและกินเวลาในการหายนานกว่าสัปดาห์หรือเป็นเดือน
ความแตกต่างที่เห็นชัดคือความเจ็บปวดที่รุนแรงกว่า และโอกาสที่จะเกิดพังผืดดึงรั้งผิวจนเป็นหลุมสิวหลังจากสิวหัวช้างยุบตัวลงมีสูงเกือบ 100% หากไม่ได้รับการดูแลอย่างถูกต้อง
6 สาเหตุหลักที่ทำให้เกิด สิวหัวช้าง ที่คุณอาจไม่เคยรู้

การรักษาสิวให้ลดลงจำเป็นต้องรู้เท่าทันสาเหตุที่กระตุ้นให้เกิดความรุนแรงระดับนี้ โดยปัจจัยที่ทำให้เกิดสิวหัวช้างประกอบไปด้วยหลายส่วนที่ทำงานร่วมกัน ดังนี้
1. ความแปรปรวนของระดับฮอร์โมนแอนโดรเจน (Androgen)
ฮอร์โมนกลุ่มแอนโดรเจนเป็นตัวการหลักที่สั่งการให้ต่อมไขมันขยายขนาดและผลิตน้ำมันออกมาในปริมาณมากเกินความจำเป็น เมื่อมีน้ำมันล้นรูขุมขน โอกาสที่จะเกิดการอุดตันจนนำไปสู่สิวหัวช้างก็มีมากขึ้น โดยเฉพาะในช่วงวัยรุ่น ช่วงก่อนมีประจำเดือน หรือในผู้ที่มีภาวะฮอร์โมนผิดปกติ
2. การติดเชื้อแบคทีเรีย C.Acne ในชั้นผิวระดับลึกที่ควบคุมได้ยาก
แบคทีเรียชนิดนี้อาศัยน้ำมันเป็นอาหาร เมื่อมันเข้าไปอยู่ในรูขุมขนที่อุดตันและไม่มีออกซิเจน มันจะขยายพันธุ์อย่างรวดเร็วและหลั่งสารที่กระตุ้นการอักเสบอย่างรุนแรงออกมา ในกรณีของสิวหัวช้างเชื้อเหล่านี้จะฝังตัวอยู่ลึกเกินกว่าที่ยาทาภายนอกทั่วไปจะซึมเข้าไปถึงได้
3. ปัจจัยทางพันธุกรรม: ทำไมบางคนถึงเป็นสิวหัวช้างง่ายกว่าปกติ
กรรมพันธุ์มีส่วนอย่างมากในการกำหนดโครงสร้างผิวหนังและลักษณะการทำงานของต่อมไขมัน หากพ่อแม่เคยมีประวัติเป็นสิวหัวช้างรุนแรง ลูกก็มีโอกาสสูงที่จะมีสภาพผิวที่ไวต่อการเกิดสิวอักเสบในลักษณะเดียวกัน เนื่องจากร่างกายมีกระบวนการตอบสนองต่อการอักเสบที่รุนแรงกว่าคนปกติ
4. ภาวะดื้อยาจากการรักษาที่ผิดวิธีหรือการใช้ยาไม่ต่อเนื่อง
หลายคนพยายามรักษาสิวหัวช้างด้วยตัวเองโดยการใช้ยาปฏิชีวนะแบบทาหรือแบบกินที่ซื้อตามร้านยาโดยไม่มีการควบคุมปริมาณและระยะเวลาที่ถูกต้อง ส่งผลให้เชื้อแบคทีเรียเกิดอาการดื้อยาและทวีความรุนแรงขึ้น จนกลายเป็นสิวหัวช้างที่รักษายากและอักเสบซ้ำซากไม่ยอมหาย
5. พฤติกรรมการกินอาหารที่มีค่า Glycemic Index สูงและผลิตภัณฑ์จากนม
อาหารที่มีน้ำตาลสูง แป้งขัดขาว และผลิตภัณฑ์จากนมวัวบางชนิด มีส่วนช่วยกระตุ้นการหลั่งอินซูลินและสาร IG-F1 ในร่างกาย ซึ่งสารเหล่านี้จะเข้าไปกระตุ้นต่อมไขมันและการอักเสบของผิวโดยตรง ทำให้สิวที่กำลังจะขึ้นลุกลามกลายเป็นสิวหัวช้างได้ง่ายขึ้น
6. มลภาวะและสารเคมีตกค้างที่ทำให้เกิดการอักเสบเรื้อรัง
การเผชิญกับฝุ่นละออง PM 2.5 และสารเคมีจากการแต่งหน้าสะสมรวมกับน้ำมันบนใบหน้า จะสร้างสภาพแวดล้อมที่แย่ต่อผิวพรรณ มลภาวะเหล่านี้ทำลายปราการผิวและกระตุ้นให้เกิดภาวะ Oxidative Stress ซึ่งเป็นตัวจุดชนวนให้การอุดตันเล็กน้อยกลายเป็นสิวหัวช้างอักเสบวงกว้าง
สัญญาณอันตราย เมื่อไหร่ที่สิวอักเสบธรรมดากำลังพัฒนากลายเป็น สิวหัวช้าง
คุณควรเริ่มสังเกตตั้งแต่วินาทีที่เริ่มรู้สึกเจ็บแปลบบริเวณตุ่มแดง หากตุ่มนั้นเริ่มบวมแดงขึ้นเรื่อยๆ โดยไม่มีวี่แววว่าจะมีหัวขาวปรากฏออกมา และขนาดเริ่มขยายจนใหญ่กว่าเม็ดถั่วเขียว นั่นคือสัญญาณชัดเจนว่าสิวอักเสบธรรมดากำลังพัฒนากลายเป็นสิวหัวช้างความร้อนบริเวณตุ่มสิวที่สัมผัสได้คือสัญญาณของการอักเสบระดับลึกที่กำลังทำลายเนื้อเยื่อ หากคุณพบสัญญาณเหล่านี้ การรีบปรึกษาแพทย์ผิวหนังคือสิ่งแรกที่ควรทำก่อนที่ผิวจะพังไปมากกว่านี้
อันตรายจากการบีบ สิวหัวช้าง ด้วยตัวเอง: ผลกระทบที่คุณอาจต้องจ่ายแพง

หลายคนทนความเจ็บปวดไม่ไหวจึงพยายามจะบีบหรือเค้นหัวสิวออกมา แต่นี่คือการกระทำที่อันตรายที่สุดสำหรับสิวหัวช้างเพราะแรงกดจากการบีบจะไปทำให้ถุงหนองใต้ผิวหนังแตกออกในทิศทางที่ลึกลงไปอีก ส่งผลให้เชื้อแบคทีเรียและสิ่งสกปรกกระจายตัวเข้าสู่กระแสเลือดและเนื้อเยื่อส่วนลึก เกิดการอักเสบลุกลามเป็นวงกว้าง (Cellulitis) จนอาจถึงขั้นต้องผ่าตัดระบายหนองออก
จุดเริ่มต้นของหลุมสิวและแผลเป็นพังผืด (Fibrosis) ที่รักษายาก
เมื่อสิวหัวช้างอักเสบจนถึงขีดสุด มันจะทำลายคอลลาเจนใต้ผิวไปจนหมดสิ้น ร่างกายจะพยายามซ่อมแซมด้วยการสร้างพังผืดขึ้นมาดึงรั้งผิวไว้ ทำให้เกิดหลุมสิวขนาดใหญ่และลึกที่เรียกว่าหลุมสิวแบบ Boxcar หรือ Ice-pick scar ซึ่งยากต่อการรักษาด้วยยาเพียงอย่างเดียว การบีบสิวหัวช้างด้วยตัวเองจึงเท่ากับการการันตีว่าคุณจะมีหลุมสิวติดตัวไปตลอดชีวิต
วิธีรักษา สิวหัวช้าง อย่างถูกต้องตามหลักการแพทย์ผิวหนัง
การรักษาสิวหัวช้างไม่สามารถใช้เพียงยาทาตัวเดียวแล้วจบได้ แต่ต้องใช้แนวทางการรักษาแบบผสมผสานเพื่อจัดการกับปัญหาทั้งจากภายในและภายนอกพร้อมกัน
1. การรักษาด้วยยารับประทานกลุ่มอนุพันธ์วิตามินเอ (Isotretinoin)
สำหรับรายที่เป็นสิวหัวช้างรุนแรง แพทย์มักพิจารณาการใช้ยารับประทานในกลุ่มไอโซเตรติโนอินเพื่อลดขนาดของต่อมไขมันและลดการผลิตน้ำมันอย่างมีประสิทธิภาพสูงสุด ยานี้จะช่วยให้การอุดตันลดลงและลดอาการอักเสบของสิวหัวช้างได้อย่างรวดเร็ว แต่ต้องอยู่ภายใต้การดูแลของแพทย์อย่างเคร่งครัดเนื่องจากมีผลข้างเคียงต่อระบบร่างกาย
2. การฉีดสิว (Intralesional Injection) เพื่อหยุดการอักเสบแบบเร่งด่วน
การฉีดตัวยาคอร์ติโคสเตียรอยด์ความเข้มข้นต่ำเข้าไปที่บริเวณสิวหัวช้างโดยตรง จะช่วยลดกระบวนการอักเสบได้ทันทีภายใน 24-48 ชั่วโมง วิธีนี้จะช่วยบรรเทาความเจ็บปวดและป้องกันไม่ให้เนื้อเยื่อคอลลาเจนถูกทำลายไปมากกว่าเดิม เป็นการลดโอกาสการเกิดหลุมสิวได้อย่างมีประสิทธิภาพสูงสุดในขณะที่สิวกำลังอักเสบ
3. การจัดการหนองและการระบายหัวสิวโดยผู้เชี่ยวชาญ
ในวารสารทางการแพทย์ด้านผิวหนังระบุว่า หนองมีเอนไซม์ทำลายโปรตีน (Proteolytic enzymes) หากปล่อยทิ้งไว้โดยไม่ระบายออก หนองจะกัดเซาะโพรงสิวให้กว้างขึ้นเรื่อยๆ การจัดการโดยแพทย์จึงเป็นการจำกัดวงความเสียหายของผิว
เทคโนโลยีรักษาสิวหัวช้างและฟื้นฟูผิวที่ BSL Clinic
ที่ BSL Clinic เราเข้าใจดีว่าสิวหัวช้างไม่ใช่แค่เรื่องของสิว แต่คือการรักษาโครงสร้างผิว เราจึงใช้เทคโนโลยีที่ทันสมัยเข้ามาช่วยจัดการปัญหาดังนี้
เลเซอร์ลดการอักเสบและฆ่าเชื้อสิวลึกถึงราก (Advanced Acne Laser)
เราใช้เลเซอร์เฉพาะทางที่สามารถส่งผ่านพลังงานลงไปได้ลึกถึงชั้นหนังแท้เพื่อลดเชื้อแบคทีเรียและลดการขยายตัวของเส้นเลือดที่มาเลี้ยงบริเวณที่อักเสบ ช่วยให้สิวหัวช้างที่นูนแดงยุบตัวลงได้อย่างรวดเร็ว ลดโอกาสการเกิดรอยดำสิวและช่วยปรับสมดุลของต่อมไขมันไปพร้อมๆ กัน
เลเซอร์ความยาวคลื่น 1726 โปรแกรมรักษาสิว
สำหรับผู้ที่มีปัญหาสิวหัวช้างขึ้นที่เดิมซ้ำๆ เราใช้เทคโนโลยีคลื่นวิทยุความถี่สูงส่งผ่านเข็มขนาดเล็กพิเศษเข้าไปทำลายต่อมไขมันที่ทำงานผิดปกติได้ถึงต้นตอ เมื่อต่อมไขมันฝ่อตัวลง โอกาสที่จะเกิดสิวหัวช้างในบริเวณเดิมก็จะดีขึ้น เป็นการแก้ปัญหาที่ยั่งยืน
การฉายแสงบำบัดผิว (LED Light Therapy) และทรีตเมนต์ฟื้นฟู
เราเสริมการรักษาด้วยการฉายแสงบำบัดสีฟ้าเพื่อฆ่าเชื้อสิว และแสงสีแดงเพื่อลดอาการบวมแดงและเร่งการสมานแผล ร่วมกับการทำทรีตเมนต์ที่ช่วยเติมสารต้านการอักเสบและสารอาหารเข้าสู่ผิว เพื่อฟื้นฟูความแข็งแรงให้ผิวพรรณหลังจากผ่านการอักเสบจากสิวหัวช้างอย่างรุนแรงมา
วิธีดูแลตัวเองเพื่อป้องกันไม่ให้ สิวหัวช้าง กลับมาเป็นซ้ำ
การรักษาจนหายเป็นเพียงขั้นตอนแรก แต่การป้องกันคือสิ่งที่จะช่วยให้คุณมีผิวสุขภาพดีตลอดไป
- การปรับเปลี่ยนไลฟ์สไตล์เพื่อสมดุลฮอร์โมน: ควรพักผ่อนให้เพียงพออย่างน้อย 7-8 ชั่วโมง เพราะการอดนอนกระตุ้นความเครียดและฮอร์โมนแอนโดรเจนที่ทำให้เกิดสิวหัวช้างได้
- การเลือกใช้สกินแคร์ที่เสริมชั้นผิว (Skin Barrier): เน้นผลิตภัณฑ์ที่มีส่วนผสมของเซราไมด์และปราศจากสารอุดตัน เพื่อสร้างเกราะป้องกันไม่ให้สิ่งสกปรกเข้าไปถึงรูขุมขนชั้นลึกจนกลายเป็นสิวหัวช้าง
- หลีกเลี่ยงปัจจัยกระตุ้นจากอาหาร: ลดการทานของหวาน แป้ง และนมวัว ที่จะไปเพิ่มระดับการอักเสบในร่างกาย
- ดีท็อกซ์ผิวและทำความสะอาดล้ำลึก: การล้างหน้าให้สะอาดหมดจดและการมาตรวจเช็กสภาพผิวกับแพทย์เป็นประจำ จะช่วยกำจัดสิวอุดตันเล็กๆ ก่อนที่จะพัฒนากลายเป็นสิวหัวช้างเม็ดใหญ่
FAQ: คำถามที่พบบ่อยเกี่ยวกับปัญหา สิวหัวช้าง
1. สิวหัวช้างใช้เวลารักษานานแค่ไหนถึงจะเห็นผลชัดเจน?
โดยทั่วไปการฉีดสิวและเลเซอร์จะเริ่มเห็นผลภายใน 1-3 วัน แต่ถ้าเป็นการรักษาเพื่อป้องกันสิวหัวช้างกลับมาเป็นซ้ำอาจต้องใช้เวลาต่อเนื่อง 3-6 เดือนเพื่อให้ผลการรักษามีประสิทธิภาพ
2. ยาสีฟันหรือสมุนไพรพอกหน้าช่วยให้สิวหัวช้างยุบจริงไหม?
ไม่จริง และอาจเป็นอันตรายอย่างมาก สารในยาสีฟันอาจทำให้ผิวหนังไหม้ (Chemical Burn) จนทำให้สิวหัวช้างที่อักเสบอยู่แล้วลุกลามและรักษายากขึ้นกว่าเดิม
3. ถ้าสิวหัวช้างแตกเองควรปฐมพยาบาลเบื้องต้นอย่างไร?
ให้ใช้สำลีสะอาดซับเบาๆ อย่าบีบเค้นเด็ดขาด จากนั้นเช็ดด้วยน้ำเกลือปราศจากเชื้อและทายาฆ่าเชื้อสิวเบื้องต้น แล้วควรรีบมาพบแพทย์ผิวหนังเพื่อตรวจเช็กว่ามีการอักเสบตกค้างอยู่ภายในหรือไม่
4. สิวหัวช้างมักจะขึ้นบริเวณเดิมซ้ำๆ เกิดจากอะไร?
มักเกิดจากต่อมไขมันบริเวณนั้นมีขนาดใหญ่ผิดปกติหรือมีพังผืดเก่าดึงรั้งรูขุมขนไว้ ทำให้เกิดการอุดตันได้ง่ายขึ้น การรักษาด้วยเลเซอร์ที่ BSL Clinic จะช่วยรักษาปัญหาได้อย่างเหมาะสมมากยิ่งขึ้น
5. ทำไมการทำเลเซอร์ที่ BSL Clinic ถึงลดการเกิดสิวหัวช้างใหม่ได้ดีกว่า?
เพราะเราใช้เลเซอร์ที่มีพลังงานแม่นยำและเจาะจงต่อต่อมไขมันชั้นลึก ซึ่งยาทาทั่วไปทำไม่ได้ การลดต้นตอการผลิตน้ำมันจึงช่วยลดโอกาสการเกิดสิวหัวช้าง
สรุป: เปลี่ยนผิวพังจากสิวหัวช้างให้กลับมาเนียนใสที่ BSL Clinic
สิวหัวช้างเป็นภาวะทางผิวหนังที่ต้องการความเชี่ยวชาญในการรักษาอย่างสูง การพยายามจัดการด้วยตัวเองมีแต่จะทำให้ปัญหาบานปลายและจบลงที่รอยแผลเป็นตลอดชีวิต ที่ BSL Clinic แพทย์ที่มีความเข้าใจด้านการรักษาสิว จะทำการวิเคราะห์ปัญหาและออกแบบการรักษาที่ตอบโจทย์ที่สุด เพื่อดูแลและรักษาปัญหาสิวหัวช้างให้ดีขึ้นอย่างมีประสิทธิภาพ
- E-Mail: [email protected]
- เบอร์โทรศัพท์ 099-343-8666
- ID Line: @bslclinic
